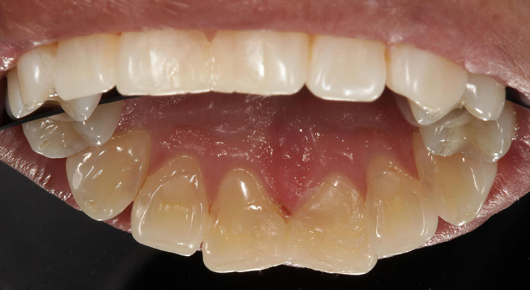
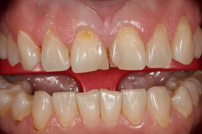
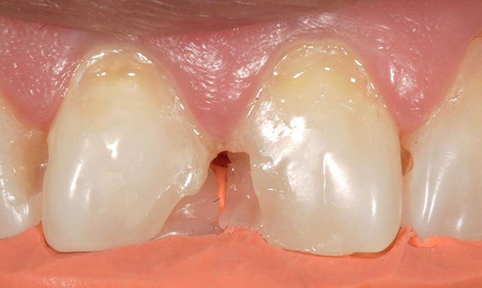
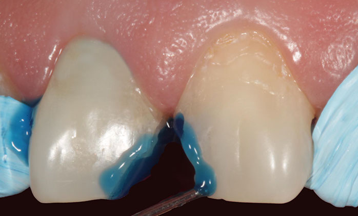
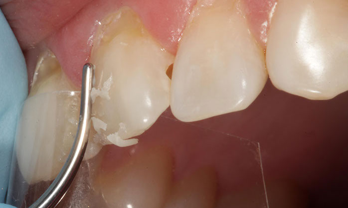
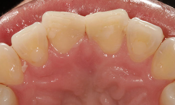
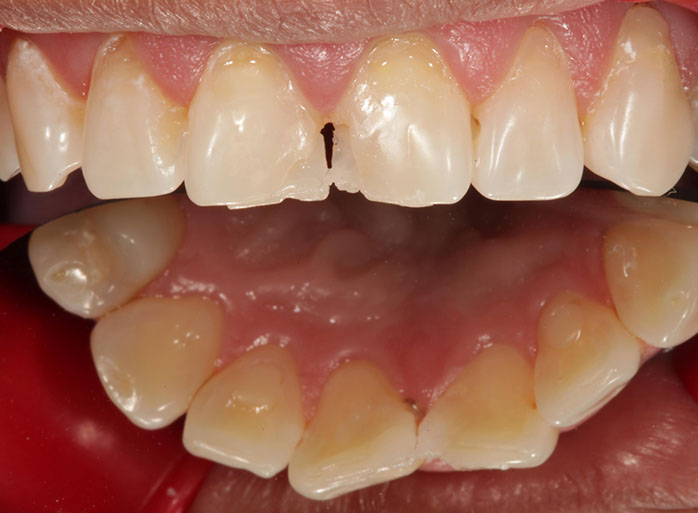
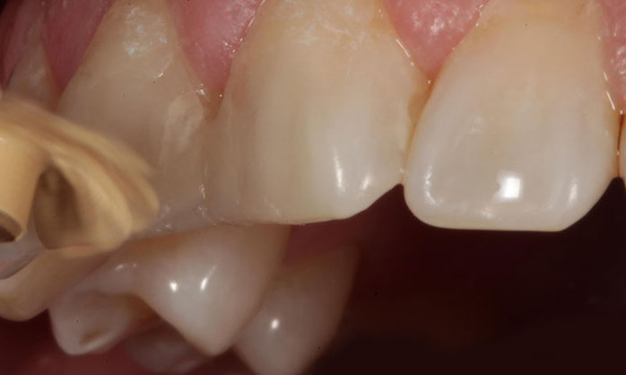
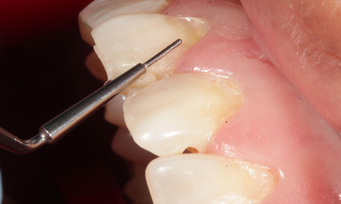
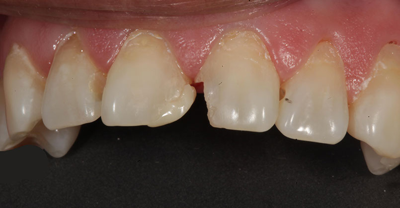
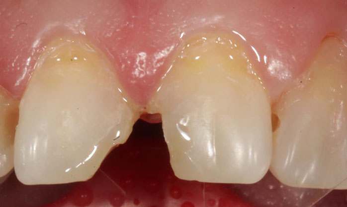
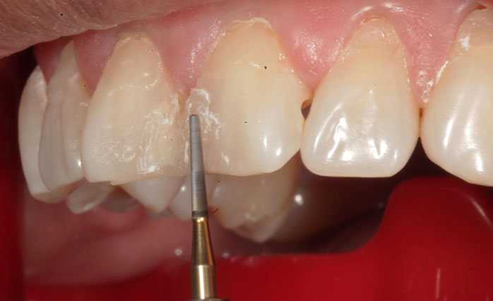
Fotografía de caso clínico